ホワイトスポット治療
- TOP
- ホワイトスポット治療
歯に白いシミがある… そんなお悩みを解消します!
こんなお悩みはありませんか?
・歯に白い斑点があるのが気になる
・歯の白いシミが気になって笑顔に自信が持てない
・前歯に生まれつき白い部分がある(エナメル質形成不全)
・ホワイトスポットは治せるの?どんな治療法があるの?
ホワイトスポットとは?
歯の表面に現れる白い斑点やシミのことを「ホワイトスポット」と呼びます。痛みを感じることはありませんが、白く目立つため、口元に自信を持てなくなる方も少なくありません。
この白いシミは、主に次の二つの原因が考えられます。
・初期むし歯(脱灰)の兆候:歯のミネラル成分が溶け始めているサインです。
・エナメル質の形成不全(生まれつきの要因):歯が作られる段階で、エナメル質が十分に成熟しなかった状態です。
なぜホワイトスポットが白く見えるの?
正常な歯と形成不全のエナメル質の歯や初期のむし歯では、光の反射の仕方が異なります。
ホワイトスポットの部分は、歯のミネラル成分が少なくスカスカな状態になっており、内部に届いた光が乱反射してしまいます。この乱反射が、視覚的に「白く濁って見える」原因となっています。
当院のホワイトスポット治療法
ホワイトスポットの原因や深さによって、最適な治療法は異なります。当院では、できる限り歯を削らない治療(ICON)から、審美性と強度を両立させる治療(ダイレクトボンディング)まで、患者様のご要望と症状に合わせて複数の選択肢をご提案します。
この表はスクロールできます
| 治療法 | 特徴 | 適用される主な症状 |
|---|---|---|
| ICON(アイコン) | 歯を削らない画期的な治療。薬剤を浸透させ光の乱反射を抑える。 | 比較的浅い、初期むし歯が原因のホワイトスポット |
| ダイレクトボンディング | 最小限の切削で、審美性の高いレジンで修復。 | 広範囲、深い、長年のホワイトスポット、形状修正も希望される場合 |
歯を削らずに治せる「ICON(アイコン)」
ICON(アイコン)は、ドイツで開発された特殊な液状の樹脂(レジン)をホワイトスポット内部に流し込んで固める治療法です。
メリット:歯を一切削らない / 治療時間が短い(約1時間) / 初期むし歯の予防効果も期待できる
デメリット:深いホワイトスポットには不向き / 治療後に稀に変色する可能性がある
広範囲・深い症状を改善する「ダイレクトボンディング」
広範囲にわたるホワイトスポットや、ICONでは改善が難しい深い層にあるホワイトスポットには、ダイレクトボンディングを推奨します。熟練の歯科医師が、何層もの高品質なレジン(歯科用プラスチック)を用いて、天然歯と見分けがつかないほどの審美性の高い仕上がりを目指します。
メリット:色調の再現性が高い / 広い範囲や深い症状にも対応 / 治療後の強度も高い
デメリット:白斑部分をわずかに削る必要がある / ICONより費用が高くなる傾向がある
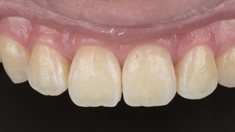
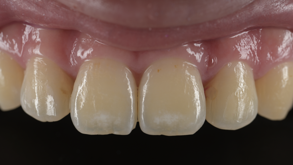
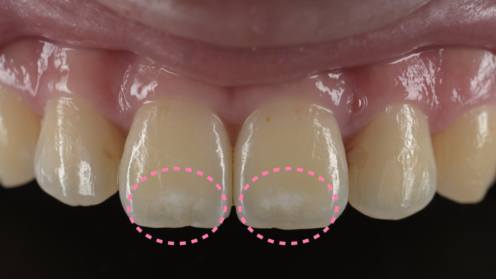
ホワイトスポット治療の症例紹介
治療前
治療後
この表はスクロールできます
| 項目 | 詳細 |
|---|---|
| 年代・性別 | 20代・女性 |
| 治療内容 | ホワイトスポット治療(アイコンなど) |
| 治療期間 | 1回 |
| 治療費用 | ¥35,000〜(税込) |
| リスク・副作用 | 白濁の改善には個人差があります。 |
機能的な問題はないが、見た目を気にされていた患者様に対し、歯を削らずに改善できるICON治療をご提案しました。麻酔も不要で1回で処置が完了し、周囲の歯と調和した自然な仕上がりとなり、大変喜んでいただけました。
ホワイトスポット治療の流れ
STEP 1:カウンセリング・検査
口腔内の状態を確認し、ホワイトスポットの原因と深さを診断します。最適な治療法を決定します。
STEP 2:歯の色の調整
ホワイトスポットを目立たなくするため、先にホワイトニングなどで歯全体のトーンを明るくすることを推奨する場合があります。
STEP 3:ICON治療(約1時間)
ラバーダムを装着し、薬剤を塗布してホワイトスポット内部に浸透させます。その後、特殊な光を当てて液剤を硬化させます。麻酔は不要です。
STEP 4:術後チェック・アフターケア
定期的なご来院時にトレーニングの成果を確認し、お子様の成長に合わせて次のステップへと進みます。
STEP 5:定期検診
再発防止と良好な状態を保つため、3〜6カ月ごとの定期的なメンテナンスを推奨します。
治療費用
この表はスクロールできます
| 治療内容 | 費用(目安) | 備考 |
|---|---|---|
| ホワイトスポット治療 | 1歯あたり ¥35,000〜 | ICON・再石灰化療法など。症状により変動。 |
| ダイレクトボンディング | 1歯あたり ¥38,500(税込) | 範囲・難易度により変動する場合があります。 |
| ホームホワイトニング | 33,000円(税込) | 治療前の色調調整に推奨 |
ホワイトスポットの治療をご検討の方へ
「白い斑点があるけど、どこに相談すればいいかわからない」と諦めていませんか?
いろは歯科矯正歯科では、お一人おひとりの症状を見極め、最も歯に負担の少ない治療法をご提案します。まずはお気軽にご相談ください。
