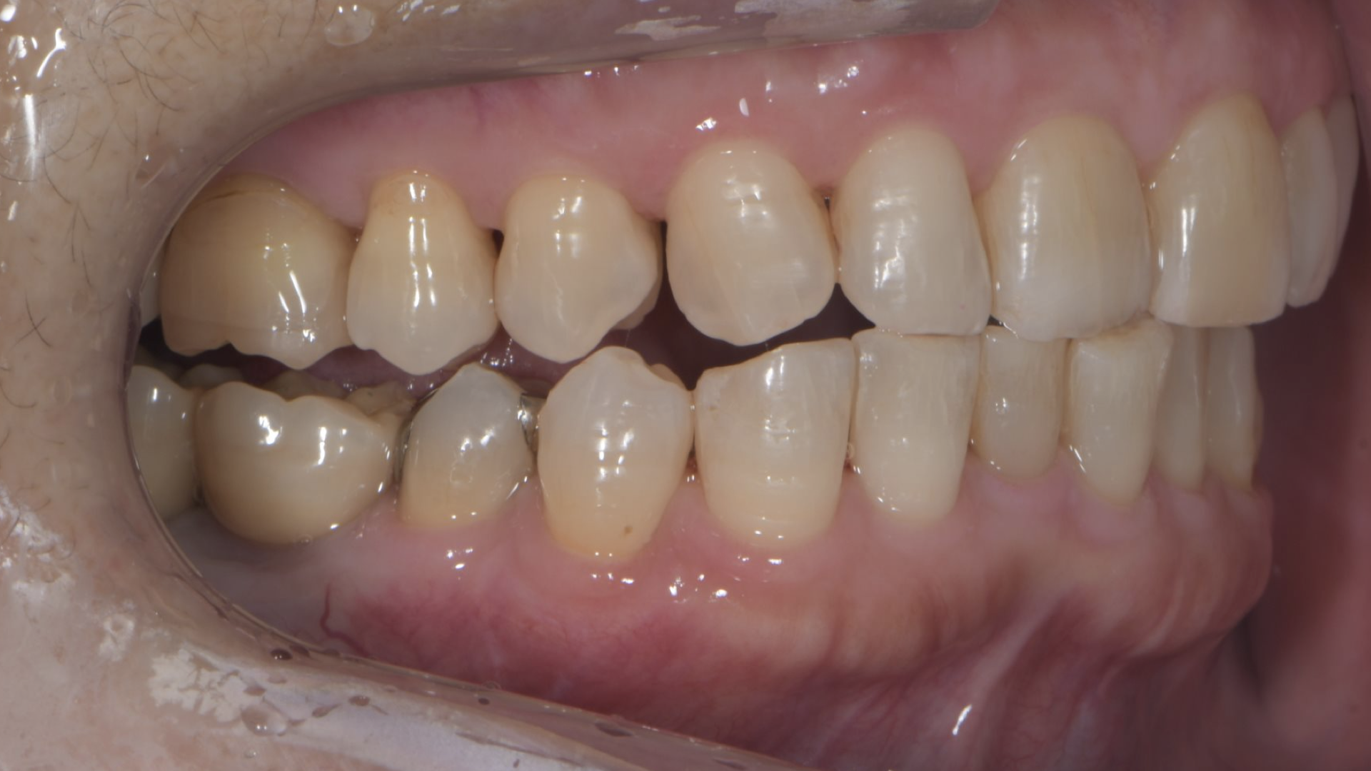
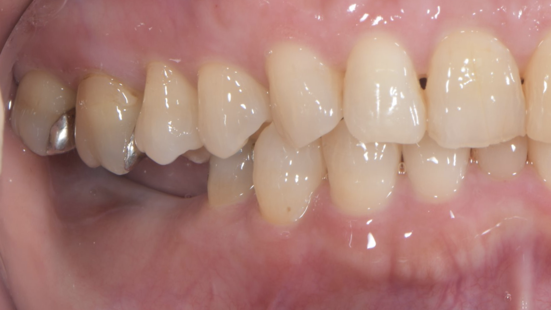
CATEGORY カテゴリー一覧 インプラント おとなの矯正治療 お知らせ セラミック治療 ダイレクトボンディング 医院情報 症例紹介 最新記事 インプラント セラミック治療 医院情報 症例紹介 30/5/24 奥歯へのインプラント治療とセラミック治療 治療までの経緯 右下の歯が2本ない状態で、左側でものを噛む癖がついていました。片側だけで噛む癖... 続きを読む お知らせ 6/5/24 マイナンバーカードに関するお知らせ 当院では保険証にかわり、マイナンバーカードを保険証として利用することができます。 マイナンバー... 続きを読む セラミック治療 ダイレクトボンディング 医院情報 症例紹介 5/11/23 すきっ歯に対して、ダイレクトボンディングとラミネートベニアで改善した症例 すきっ歯が気になる方は非常に多いと思います。当院ではすきっ歯に対する治療として、①ダイレクトボンディ... 続きを読む ダイレクトボンディング 症例紹介 31/10/23 歯の白濁(ホワイトスポット)をアイコンにて削らずに改善 エナメル質の形成不全などにより、歯の表面に白濁がある方は多いかと思います。ちょっと見た目が気になるけ... 続きを読む 投稿のページ送り 1 2 3 … 6